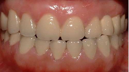
怎样鉴别烤瓷牙
1、看烤瓷牙边缘
烤瓷牙边缘的精度,是鉴别烤瓷牙优劣最基本也是最重要一个判断标准,也是目前问题较多的一个地方。精度体现在瓷冠与牙齿之间的接缝,缝隙越小越好,否则细菌就容易进去,导致牙齿内部的龋坏、折断,造成修复的失败。缝隙位于牙龈的下方,通常被患者忽视。这个缝隙将陪伴烤瓷牙的终身,决定着天然牙齿的命运。这也是考验医生技术水平的关键,技术含量最高的地方,治疗过程的每一个步骤都对烤瓷牙精度有影响。
2、看烤瓷牙颜色
烤瓷冠色泽柔和,并非越白越好。为了遮盖金属内冠的颜色,必须要有一定厚度的瓷层。常瓷层越厚,美观效果越好。临床上牙齿预备不足,就容易出现烤瓷牙呈白垩色或者呆板、肥厚。但是为了追求美观效果,牙齿磨除量过大又容易造成牙神经的暴露,同时折断的可能性加大。所以必须掌握精确的牙体预备技巧,既保证有足够的瓷层厚度又不损伤牙神经。

3、看烤瓷牙形态
牙齿的形态正常,不肥大,唇舌无异物感。临床上通常有一个错误,就是烤瓷牙肥大,导致唇部和舌部的不适,觉得牙齿很厚,同时临面的增厚和牙齿的不良形态导致牙龈受到不良的刺激,导致牙龈的肿胀。这是因为未均匀精确切割所致,同时要对各种瓷冠的特点、性能要有清晰掌握,并做出个性化的牙体预备,在保证足够的瓷层厚度情况下保证最小量的磨除牙体组织。
4、看牙龈
牙龈术中应该不出血,术后无红肿,充血,变色。牙龈的问题通常被忽视,失败病例大多都有牙龈问题。你可以观察一下做烤瓷患者的牙龈,如果没有红肿、出血就成功了一半。牙龈对疼痛不敏感,即使受到伤害也不会有剧烈的疼痛,但牙龈的健康是烤瓷牙成功的一个重要指标,制作过程的每一步不到位对牙龈都有影响。术中在牙颈部预备时,如果不细心保护牙龈,常常导致牙龈的出血损伤,这样容易产生镶戴烤瓷牙后牙龈红肿、出血、萎缩,影响前牙的美观。同时也不利于高精度的取模。术后的牙龈红肿,充血,变色,大部分是由于烤瓷冠与牙齿的密合度不够所致,也有一部分是由于金属的过敏等原因导致。
