中老年人最易患的关节疾病一痛风。
1、一:痛风的临床历史一古代人认为这疾病是魔鬼的疾病,皇帝的疾病。

2、二:痛风的发病机理一体内高尿酸生成增多,排泄减少。

3、三:痛风的临床表现一急性关节炎,慢性关节炎。

4、四:痛风的临床表现一痛风石。

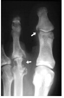
5、五:痛风的影像学检查一X线表现。

6、六:痛风的治疗和预防一1,调私网褡爸整饮食、减少外源性的嘌呤来源。2,缓解期和慢性期的治疗:促进尿酸排泄药,抑制尿酸合成药。


1、一:痛风的临床历史一古代人认为这疾病是魔鬼的疾病,皇帝的疾病。

2、二:痛风的发病机理一体内高尿酸生成增多,排泄减少。

3、三:痛风的临床表现一急性关节炎,慢性关节炎。

4、四:痛风的临床表现一痛风石。

5、五:痛风的影像学检查一X线表现。

6、六:痛风的治疗和预防一1,调私网褡爸整饮食、减少外源性的嘌呤来源。2,缓解期和慢性期的治疗:促进尿酸排泄药,抑制尿酸合成药。

